Before and After

Incredible results and inspiring journeys; see some of our patients’ before and after photos! (These are actual patients treated by Drs. Kelly) 

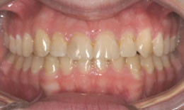
  • Small upper jaw with crossbites

  • Protruding upper arch

  • Deep bite with protruding cuspids

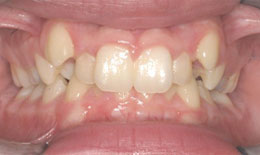
  • Upper and lower crowding

  • Adult with missing teeth and crowding

  • Open bite with crossbites

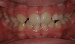
  • Large anterior space

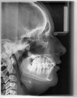
  • Correction of upper protrusion (X-ray view)

  • Congenitally missing teeth with space closure

  • Underbite and crossbite with missing teeth

  • Anterior and posterior crossbites

  • Deep bite and crowding treated with clear aligners

Services

Send Us A Message

American Dental Association American Board Of Orthodontics 2015 American Association Of Orthodontists csda neso Top Dentist Connecticut Magazine 2020

HomeAbout UsNew PatientsOrthodontic TreatmentsClear AlignersInstruction VideosContact UsSite Map